
CAMAG®
TLC-MS Interface 2

In a nutshell
Substance identification and confirmation
The TLC-MS Interface 2 enables rapid, contamination-free elution of TLC/HPTLC zones with direct transfer to any mass spectrometer. Its plug-and-play design integrates seamlessly with any LC-MS system, providing substance identification in under a minute via mass spectrum, or sum formula determination for unknown substances.
Zones are eluted using methanol or compatible solvents, with round and oval elution heads for circular and band-shaped zones, respectively. The eluate can be directly transferred for analysis or collected for further investigation with techniques like NMR and FTIR.
Key features include a modified elution head, an easily replaceable filter, and compressed air cleaning to prevent blockages and extend system life. The integrated crosshair laser and positioning tools ensure precise, reproducible plate alignment, with optional support from TLC Visualizer 3 or TLC Scanner 4.
-
Rapid and contamination-free elution of selected
-
Direct transfer to any mass spectrometer
-
Plug & play installation
-
Substance confirmation within a minute
-
Any plate format up to 20 x 20 cm
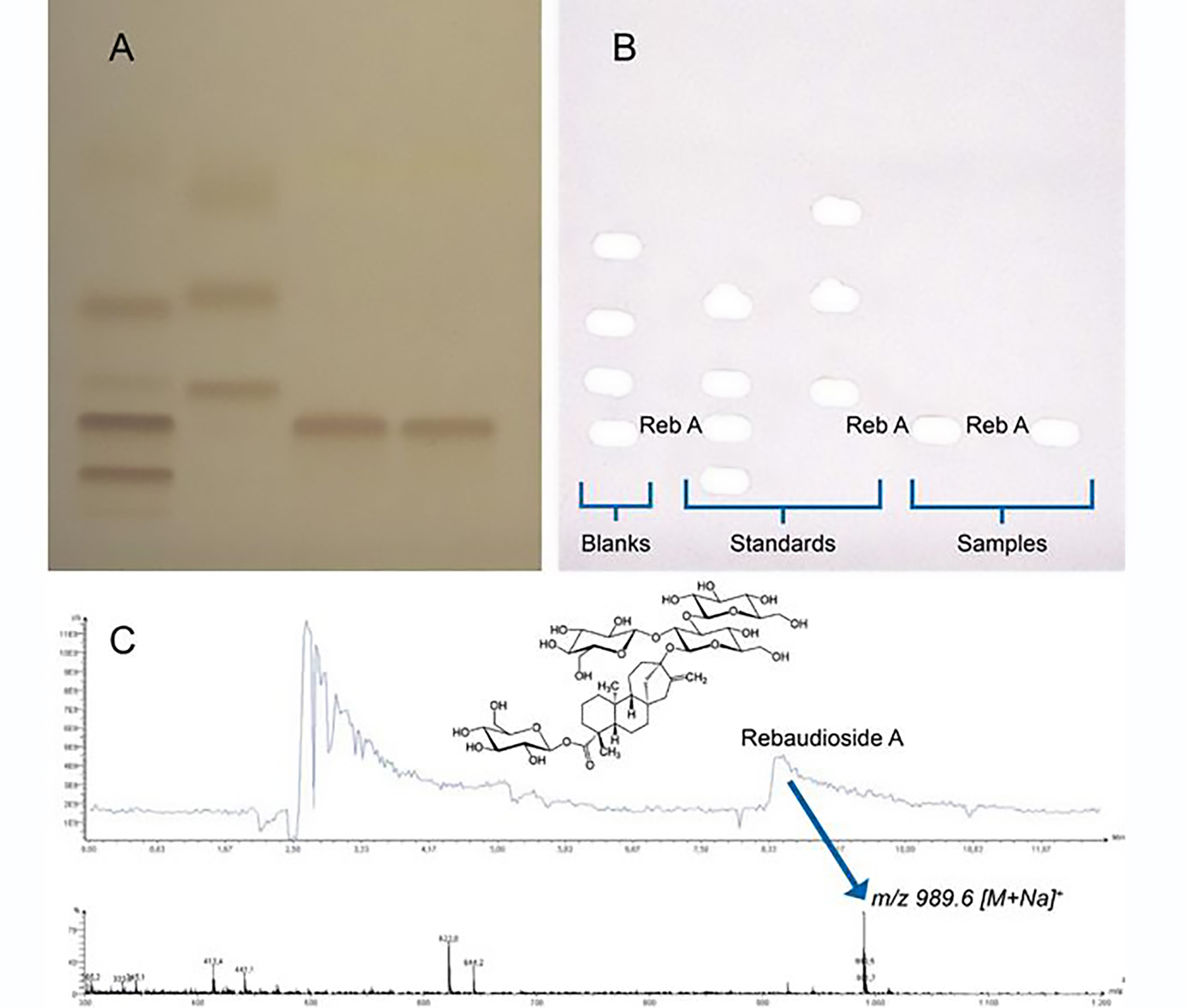
Application example
-
A.Chromatogram for localizing the zones (derivatized with ß-naphtol reagent)
-
B.HPTLC plate after elution of zones with the TLC-MS Interface 2
-
C.HPTLC-ESI-MS spectra of Rebaudioside A, m/z 989.6 [M+Na]+
* Morlock et al., Journal of Chromatography A, 1350 (2014) 102–111
Technical specifications
-
Plate typesTLC/HPTLC glass plates and aluminium foils of sizes up to 20 x 20 cm and layer thickness up to 300 μm
-
Standard flow rate50–300 μL/min
-
Downforcemax. 400 N
-
Gas supply pressure4–6 bar compressed air or N2
-
Laser type5 mW, laser class 1
-
Electrical powerTwo batteries 1.5 V, AA/LR6 size
-
Battery durationUp to 100 hours
-
Chemical Data
-
Elution head capillariesStainless steel passivated and rinsed with reagent-grade methanol
-
Frit2 μm stainless steel
-
Elution headStainless steel
-
Dimensions (W x D x H):275 x 425 x 275 mm
-
Weight14.5 kg
What you need to get started
Ordering Information
-
022.8440
CAMAG® TLC-MS Interface 2
including oval elution head 4 x 2 mm (mounted), for elution of substances from TLC/HPTLC layers,semi-automatic instrument involving automatic elutionhead movement, cleaning of the elution path withcompressed air, manual positioning and switching, table size 275 x 425 x 275 mm (W x D x H)
-
022.8441
CAMAG® TLC-MS Interface 2
including round elution head 4 mm (mounted), for elution of substances from TLC/HPTLC layers,semi-automatic instrument involving automatic elution head movement, cleaning of the elution path with compressed air, manual positioning and switching, table size 275 x 425 x 275 mm (W x D x H)
Interested in the product?
Reach out to your local distributor and enjoy faster, improved results at reduced costs.








